Martedì, 04 Novembre 2025

Seguici su

"La libertà innanzi tutto e sopra tutto"
Benedetto Croce «Il Giornale d'Italia» (10 agosto 1943)

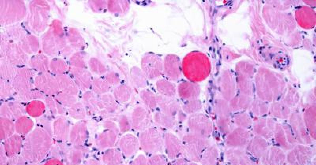
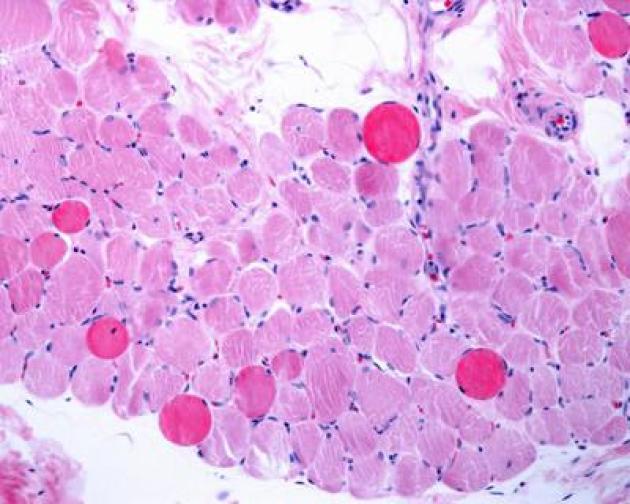
Malattie rare, risultati positivi a 5 anni per vamorolone in distrofia Duchenne

'Migliore profilo di sicurezza con efficacia paragonabile a quella dei corticosteroidi standard'

04 Novembre 2025

Malattie rare, risultati positivi a 5 anni per vamorolone in distrofia Duchenne

Roma, 4 nov. (Adnkronos Salute) - Sono positivi i risultati di un'analisi dei dati a lungo termine - comprese le prime valutazioni dello studio multicentrico in aperto Guardian, attualmente in corso - che valuta Agamree* (vamorolone) in pazienti affetti da distrofia muscolare di Duchenne (Dmd). Lo annuncia in una nota Santhera Pharmaceuticals, precisando che l'analisi ha incluso pazienti mai trattati con corticosteroidi e che hanno iniziato il trattamento con Agamree tra i 4 e i 7 anni di età nell'ambito di studi clinici, proseguendo poi attraverso vari programmi di accesso tra cui lo studio Guardian.

Sono stati analizzati i dati di un massimo di 110 pazienti, con un numero variabile in base alla disponibilità delle informazioni. In questa analisi i pazienti avevano ricevuto il trattamento per un massimo di 8 anni, con un follow-up mediano di circa 5 anni. La maggior parte dei pazienti ha mantenuto dosi elevate (4-6 mg/kg/giorno) in contesti clinici di real world durante il periodo di osservazione. I risultati mostrano che i pazienti trattati con vamorolone hanno mantenuto la funzione motoria durante il follow-up prolungato, dimostrando un'efficacia duratura del trattamento misurata in base al tempo di perdita della deambulazione paragonabile a quella dei corticosteroidi standard (p=0,91). Nelle analisi di sottogruppi prestabilite non sono state osservate differenze rispetto al deflazacort o al prednisone assunti quotidianamente. I dati - riporta l'azienda - continuano a confermare un profilo di sicurezza e tollerabilità differenziato rispetto ai corticosteroidi tradizionali. I pazienti trattati con Agamree hanno registrato un tasso significativamente inferiore di fratture vertebrali (p=0,0061), hanno mantenuto una crescita normale senza il rallentamento osservato con i corticosteroidi standard (p<0,0001) e hanno mostrato un numero inferiore di casi di cataratta rispetto ai pazienti trattati con glucocorticoidi, compresa un'incidenza notevolmente inferiore rispetto ai pazienti trattati con deflazacort (p<0,015). Inoltre, a oggi, non sono stati osservati casi di glaucoma. In media, le variazioni dell'indice di massa corporea o del peso, se rapportate all'altezza, non hanno mostrato differenze e non sono stati osservati nuovi segnali di sicurezza.

In linea con la prassi scientifica standard - riferisce Santhera - i dati completi saranno resi pubblici dopo la presentazione alla conferenza prevista in un importante convegno scientifico internazionale nel primo trimestre del 2026, una volta che gli organizzatori avranno completato il processo di revisione e presentazione. Inoltre, nei prossimi 3 anni sono previste ulteriori letture dello studio Guardian, incentrate su una serie più ampia di risultati di efficacia e sicurezza, tra cui valutazioni della funzionalità degli arti superiori, dello sviluppo puberale, della salute degli occhi e della funzionalità cardiaca, nonché altri parametri rilevanti.

"Questi dati - commenta Eugenio Mercuri, professore di Pediatria e Neuropsichiatria infantile all'università Cattolica del Sacro Cuore - forniscono prove importanti del fatto che il trattamento a lungo termine con vamorolone offre un'efficacia duratura, con una sostanziale riduzione del rischio di fratture vertebrali e un miglioramento dell'altezza, in contrasto con quanto osservato con gli steroidi convenzionali". Aggiunge Francesco Muntoni, professore di Neurologia, University College London: "Questi dati preliminari sono incoraggianti. In particolare, è rassicurante vedere che i bambini continuano a crescere in altezza senza un impatto apparente sull'efficacia del trattamento. I bambini trattati con altri corticosteroidi spesso subiscono un significativo arresto della crescita, che ha un impatto considerevole sulla loro qualità di vita".

Secondo Craig McDonald, professore di Medicina fisica e riabilitazione e pediatria presso l'Uc Davis (Usa), "è positivo vedere un'efficacia a lungo termine paragonabile a quella di altri corticosteroidi, e i dati sull'altezza e sulla salute delle ossa sono coerenti con altri studi sul vamorolone. Questi dati mostrano ora chiaramente i benefici di un trattamento precoce e del mantenimento del trattamento a dosi efficaci con vamorolone. E' interessante notare che i benefici che osserviamo nella conservazione della funzione muscolare, dell'altezza e di una migliore salute delle ossa possono avere importanti implicazioni anche per i pazienti affetti da Dmd più anziani, ad esempio per la funzione degli arti superiori e respiratoria. Attendo con interesse la raccolta dei dati in corso nello studio Guardian".

Dichiara Shabir Hasham, Chief Medical Officer di Santhera: "Siamo davvero lieti di offrire alla comunità Dmd un'opzione terapeutica corticosteroidea in grado di fornire benefici a lungo termine e di ridurre significativamente l'insorgenza di alcuni degli effetti collaterali più debilitanti che spesso portano alla riduzione del dosaggio o alla sospensione del trattamento. Disporre di un trattamento più adatto all'uso a lungo termine diventa ancora più importante ora che nuove terapie per la Dmd in combinazione con i corticosteroidi stanno diventando disponibili. Inoltre, lo studio Guardian continuerà a raccogliere importanti dati su efficacia e sicurezza in una più ampia gamma di parametri man mano che i pazienti crescono e continuano il trattamento più a lungo. Non vediamo l'ora di comunicare questi risultati alla comunità clinica che si occupa della distrofia muscolare di Duchenne".

Il Giornale d'Italia è anche su Whatsapp. Clicca qui per iscriversi al canale e rimanere sempre aggiornati.

Commenti Scrivi e lascia un commento

Condividi le tue opinioni su Il Giornale d'Italia

Caratteri rimanenti: 400

Articoli Recenti

x