Mercoledì, 22 Ottobre 2025

Seguici su

"La libertà innanzi tutto e sopra tutto"
Benedetto Croce «Il Giornale d'Italia» (10 agosto 1943)

Vaccino Covid-19: "Effetti avversi per il 29,4% degli adolescenti tra i 13 e i 18 anni dopo la 2a dose" - LO STUDIO CHOC

Lo studio è stato effettuato dal Centro di Patologie Tropicali di Bangkok, in Thailandia

19 Agosto 2022

Vaccino Covid-19: "Effetti avversi per il 29,4% degli adolescenti tra i 13 e i 18 anni dopo la 2a dose" - LO STUDIO CHOC

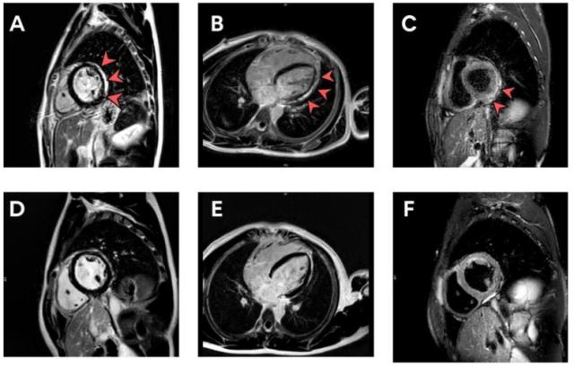
Uno studio recente ha analizzato le manifestazioni cardiovascolari, in particolare gli eventi di miocardite e pericardite, dopo l'iniezione del vaccino mRNA COVID-19 BNT162b2 in adolescenti thailandesi. Lo studio di coorte prospettico ha coinvolto studenti di età compresa tra 13 e 18 anni provenienti da due scuole, che avevano ricevuto la seconda dose del vaccino mRNA COVID-19 BNT162b2. I dati, tra cui dati demografici, sintomi, segni vitali, elettrocardiogrammi, ecocardiografie e enzimi cardiaci, sono stati raccolti al basale, al giorno 3, al giorno 7 e al giorno 14 (opzionale) utilizzando schede di registrazione dei casi. Nel totale, sono stati arruolati 314 partecipanti, di cui 13 sono stati persi durante il follow-up, lasciando 301 partecipanti per l'analisi.

Vaccino Covid-19: "Effetti avversi per il 29,4% degli adolescenti tra i 13 e i 18 anni dopo la 2a dose" - LO STUDIO CHOC

Tra i sintomi e i segni cardiovascolari più comuni riportati dopo la vaccinazione, vi erano la tachicardia (7,64%), il respiro corto (6,64%), le palpitazioni (4,32%), il dolore al petto (4,32%) e l'ipertensione (3,99%). È importante notare che un partecipante poteva presentare più di un segno e/o sintomo. Inoltre, sette partecipanti (2,33%) hanno mostrato almeno un marcatore cardiaco elevato o valutazioni di laboratorio positive.

Lo studio è stato effettuato dal Centro di Patologie Tropicali di Bangkok, in Thailandia. I dati sono stati analizzati insieme all'Università di Medicina della città con l'aiuto di due ospedali più importanti, "Samitivej Srinakarin Hospital" e "Bhumibol Adulyadej Hospital".

Manifestazioni cardiovascolari

Le manifestazioni cardiovascolari sono state osservate nel 29,24% dei pazienti, con sintomi che variavano dalla tachicardia e le palpitazioni alla miopericardite. In un caso, è stata confermata la miopericardite dopo la vaccinazione. Altri due pazienti avevano sospette pericarditi e quattro pazienti avevano sospetta miocardite subclinica.

I medici che hanno partecipato allo studio sottolineano l'importanza di monitorare da vicino gli adolescenti che ricevono vaccini a mRNA per effetti collaterali cardiovascolari.

Il Giornale d'Italia è anche su Whatsapp. Clicca qui per iscriversi al canale e rimanere sempre aggiornati.

Commenti Scrivi e lascia un commento

Condividi le tue opinioni su Il Giornale d'Italia

Caratteri rimanenti: 400

Articoli Recenti

x